Alsancak'ın kalbinde, son teknoloji ekipmanlar ve uzman kadromuzla ağız ve diş sağlığınız için en doğru çözümleri sunuyoruz. Doğal ve estetik gülüşlere birlikte ulaşalım.
Yıllık Deneyim
Mutlu Hasta
Hasta Memnuniyeti
Her hastamıza özel tedavi planları hazırlayarak, en güncel yöntemlerle kalıcı sonuçlar elde ediyoruz.
Eksik dişlerinizi, doğal diş kökünü taklit eden titanyum implantlarla tamamlıyoruz. Kalıcı ve konforlu çözümlerle yeniden özgürce gülümseyin.
Detaylı BilgiDoğal diş görünümüne en yakın sonucu veren zirkonyum kaplamalarla dişlerinize hem estetik hem dayanıklılık kazandırıyoruz.
Detaylı BilgiYüz hatlarınıza ve kişiliğinize uygun, dijital analiz destekli gülüş tasarımıyla hayalinizdeki gülüşe kavuşmanızı sağlıyoruz.
Detaylı Bilgiİnce porselen yapraklar ile dişlerinizin şeklini, rengini ve boyutunu minimum müdahaleyle mükemmelleştiriyoruz.
Detaylı BilgiProfesyonel beyazlatma yöntemleriyle dişlerinizdeki renk değişimlerini gideriyoruz. Tek seansta gözle görülür beyazlık farkı.
Detaylı BilgiŞeffaf plaklar ve modern braket sistemleriyle dişlerinizi doğru konuma getiriyoruz. Hem çocuklarda hem yetişkinlerde etkili.
Detaylı Bilgiİltihaplanmış veya hasar görmüş diş sinirlerini modern endodontik yöntemlerle tedavi ederek doğal dişinizi koruyoruz.
Detaylı BilgiÇocuklarınızın diş sağlığını korumak için özel yaklaşımlarla, korkusuz ve eğlenceli bir tedavi deneyimi sunuyoruz.
Detaylı BilgiDiş eti hastalıklarını erken evrede teşhis edip tedavi ederek, dişlerinizin sağlam bir temele sahip olmasını sağlıyoruz.
Detaylı Bilgi
Alsancak Diş Estetiği olarak, İzmir Konak'ın merkezinde hastalarımıza konforlu ve güvenli bir ortamda en kaliteli diş tedavi hizmetlerini sunuyoruz.
Tecrübeli hekim kadromuz, her hastaya özel tedavi planları hazırlayarak en doğru sonuca ulaşmayı hedefler. Kliniğimizde kullanılan son teknoloji cihazlar ve sterilizasyon standartlarımız, sağlığınızı her zaman ön planda tutar.
Hastalarımızın güvenini kazanmamızı sağlayan temel değerlerimiz.
Alanında uzmanlaşmış hekimlerimiz, sürekli eğitimlerle bilgilerini güncel tutar.
Dijital diş hekimliği altyapımız sayesinde daha hızlı ve hassas tedaviler uyguluyoruz.
Tedavi süreciniz boyunca sizi dinliyor, kaygılarınızı anlıyor ve birlikte karar veriyoruz.
Konak Pasaport'daki merkezi konumumuzla kolayca ulaşabilirsiniz.
Özel ihtiyaçlarınıza ve bütçenize uygun tasarlanmış kapsamlı diş bakım paketlerimizden seçim yapın.
Doğru tedavi planını oluşturabilmek için başlangıç adımı
Estetik restorasyon ve yepyeni bir görünüm
Tam diş eksikliği için kapsamlı tedavi
Ekstra sağlamlıkla tam diş eksikliği tedavisi
* Fiyatlar bilgi amaçlıdır, tedavi planı muayene sonrası kişiye özel belirlenir. Ücretsiz muayene için randevu alın →
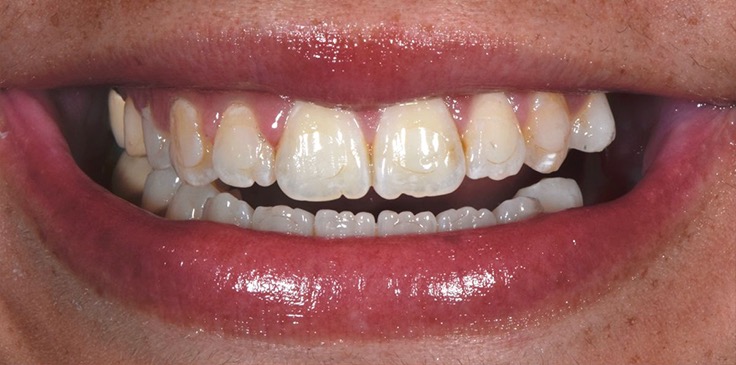
Kliniğimizde gerçekleştirdiğimiz tedavilerin mucizevi dönüşümlerine tanık olun. Tüm görseller gerçek hastalarımıza aittir.
Renk dengesizliği ve aşınmış dişlerin tam estetik restorasyonu.
Ayrık dişlerin ortodonti gerektirmeden porselen yapraklar ile kapatılması.
Kaybedilmiş diş fonksiyonlarının zirkonyum köprüler ile geri kazandırılması.
Minimum müdahale ile kalıcı beyazlık ve kusursuz form.
Renklenme sorunlarının profesyonel beyazlatma ile çözümlenmesi.
Diş eti seviyelendirme ve porselen laminate veneer kombinasyonu.
Binlerce hastamızın güvenini kazanmanın mutluluğunu yaşıyoruz.
"Yıllardır ertelediğim implant tedavisini burada yaptırdım. Hiç ağrı hissetmedim ve sonuç mükemmel oldu. Ekip çok ilgili ve profesyonel."
"Zirkonyum kaplamalarımdan çok memnunum. Doğal dişlerimden ayırt edilemiyor. Gülümsemekten çekinmiyorum artık, herkese tavsiye ederim."
"Çocuğumu diş hekimine götürmek hep zor olurdu. Buradaki pedodonti uzmanı sayesinde oğlum artık korkmuyor, mutlu mutlu gidiyor."
Merak ettiğiniz soruların yanıtlarını burada bulabilirsiniz.
Diş sağlığı ve estetiği hakkında uzmanlarımızdan tavsiyeler.
Diş eksikliklerinin en modern çözümü implantlar hakkında her şey.
Devamını Oku →Estetik kaplama seçenekleri arasındaki farkları inceledik.
Devamını Oku →Hayalinizdeki gülüşe giden adımları birlikte keşfedelim.
Devamını Oku →Bize ulaşmak çok kolay. Kliniğimizi ziyaret edin veya hemen arayın.
Konak / İzmir
Pazartesi - Cumartesi: 09:00 - 19:00
Pazar: Kapalı